آبسه مغزی و اهمیت تشخیص به موقع
آبسه مغزی به تجمع متمرکز چرک و عفونت در بافت مغز گفته میشود که توسط یک کپسول احاطه شده است. این وضعیت یک فوریت پزشکی بسیار جدی است، زیرا تجمع چرک باعث افزایش حجم و فشار داخل جمجمه میشود که میتواند عوارض جبرانناپذیر یا حتی مرگ ناگهانی به همراه داشته باشد.
اهمیت این بیماری زمانی دوچندان میشود که منشأ عفونت، یک عامل به ظاهر ساده مانند عفونت دندان یا عوارض ناشی از اقدامات دندانپزشکی باشد.
چگونه عفونت دندان به مغز میرسد؟
شواهد علمی جدید نشان میدهد که حفره دهان و عفونتهای مزمن یا درماننشده دندانی میتوانند منبع اصلی باکتریهایی باشند که به مغز سرایت میکنند. این گسترش از طریق دو مسیر اصلی اتفاق میافتد:
-
از طریق جریان خون (Hematogenous Spread): باکتریهای حاصل از آبسه دندان یا لثه میتوانند به عروق خونی نفوذ کرده و وارد سیستم گردش خون شوند. این باکتریها از طریق شریانهایی مانند شریانهای کاروتید و مغزی به سمت مغز حرکت میکنند و از سد خونی-مغزی عبور کرده، سپس در مویرگهای کوچک مغز متمرکز شده و کانون عفونت را تشکیل میدهند.
-
از طریق فضاهای صورت (Facial Spaces): عفونت میتواند از طریق فضاهای متقاطع بین بافتها و عضلات صورت به سمت قاعده جمجمه و سپس مغز گسترش یابد.
باکتریهای مقصر: مطالعات نشان میدهند که باکتریهایی مانند استرپتوکوک آنژینوسوس (Streptococcus anginosus) که معمولاً در آبسههای دندانی یافت میشوند، با احتمال سه برابر بیشتر در آبسههای مغزی با منشأ نامشخص وجود دارند.
علائم هشداردهنده آبسه مغزی
علائم آبسه مغزی اغلب به دلیل افزایش فشار داخل جمجمه بروز میکنند و نیاز به مراجعه فوری به متخصص مغز و اعصاب دارند:
-
سردرد شدید و مداوم: شایعترین علامت که اغلب ناشی از افزایش حجم آبسه و فشار داخل جمجمه است.
-
تب و لرز: نشاندهنده وجود عفونت فعال در بدن.
-
تغییرات عصبی و ذهنی: شامل گیجی، تحریکپذیری، کاهش پاسخگویی و اختلال در عملکرد ذهنی و تکلم.
-
تشنج: ممکن است در پی افزایش حجم آبسه رخ دهد.
تشخیص و درمان تخصصی آبسه مغزی عمقی با نوروناویشن (سیستمهای ناوبری مغزی)
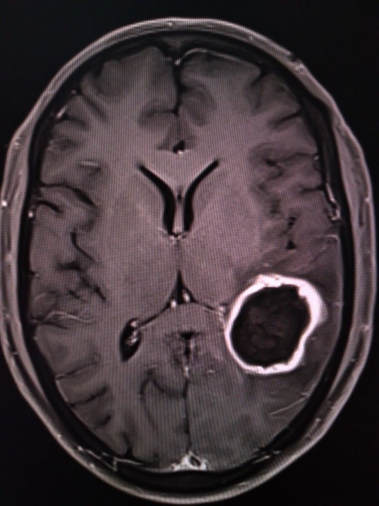
تشخیص آبسه مغزی از طریق روشهای تصویربرداری پیشرفته مانند سیتی اسکن (CT Scan) و امآرآی (MRI) مغز صورت میگیرد. درمان این بیماری یک فوریت پزشکی است و معمولاً شامل ترکیبی از آنتیبیوتیک درمانی و جراحی است.
۱. درمان دارویی
درمان اولیه شامل تجویز دوزهای بالای آنتیبیوتیک یا داروهای ضد قارچ است. اگر آبسه کوچکتر از ۲.۵ سانتیمتر باشد، یا در ناحیه حساسی از مغز (عمق مغز) قرار داشته باشد، ممکن است تنها با آنتیبیوتیک درمان شود.
۲. تخلیه با نوروناویشن (Aspiration with Neuronavigation)
در آبسههای بزرگتر از ۲.۵ سانتیمتر، یا مواردی که به درمان دارویی پاسخ نمیدهند، مداخله جراحی ضروری است. برای آبسههای عمقی و کوچک، روشهای با حداقل تهاجم (Minimally Invasive) ارجحیت دارند:
-
تخلیه سوزنی ساده (Simple Aspiration): در این روش، با استفاده از دستگاه نوروناویشن (Navigation) و سیتی اسکن برای تعیین موقعیت دقیق، یک سوراخ کوچک (Burr Hole) در جمجمه ایجاد شده و با یک سوزن (کانول)، چرک آبسه تخلیه میشود.
-
مزیت نوروناویشن: استفاده از دستگاههای ناوبری، بهویژه برای آبسههای واقع در عمق مغز، به جراح اجازه میدهد با دقت فوقالعاده بالایی مسیر سوزن را تعیین کرده و از آسیب به بافتهای حیاتی اطراف خودداری کند.
-
کرانیوتومی (Craniotomy): این روش (جراحی باز) معمولاً برای آبسههایی توصیه میشود که به آسپیراسیون پاسخ نمیدهند یا اندازه بسیار بزرگی دارند.
۳. ادامه درمان
پس از تخلیه آبسه، مایع نمونهبرداری شده برای کشت و آنتیبیوگرام به آزمایشگاه فرستاده میشود تا نوع دقیق باکتری مشخص شده و درمان آنتیبیوتیکی اختصاصی ادامه یابد.
پیشگیری: اهمیت مراقبت از دندانها
با توجه به ارتباط اثباتشده بین عفونت دندان و آبسه مغزی، بهداشت دهان و دندان یک اقدام حیاتی برای پیشگیری از عوارض مرگبار است.
-
درمان فوری آبسه دندان: هرگز عفونتهای دندانی یا لثهای، بهویژه آبسههای پریاپیکال یا پریودنتال را به تأخیر نیندازید.
-
معاینات دورهای: کنترل و معاینه دورهای دندانها و لثهها توسط دندانپزشک، میتواند از گسترش عفونت به سایر نقاط بدن از جمله مغز جلوگیری کند.
توجه: در صورت داشتن بیماریهای زمینهای مانند مشکلات دریچهای قلب یا ضعف سیستم ایمنی، حتماً قبل از هر اقدام دندانپزشکی، با پزشک متخصص مشورت کرده و در صورت لزوم آنتیبیوتیک پیشگیرانه مصرف کنید.










Leave a Reply